La Municipalidad de Escobar retoma en febrero los operativos sanitarios territoriales en los barrios del distrito, con el objetivo de acercar servicios de salud gratuitos […]
Categoría: Salud y Nutrición
Alerta sanitaria: ANMAT prohíbe un acondicionador por contener ingredientes prohibidos
La investigación se inició en el área de Cosmetovigilancia luego de recibir reportes sobre unidades del producto que circulaban en el mercado sin datos básicos, […]
Arrancó la campaña de vacunación contra el VSR para proteger a los recién nacidos
En un paso clave para la salud pública y la prevención de enfermedades respiratorias infantiles, el Ministerio de Salud de la Nación dio inicio a […]
Hito médico: una gota de sangre enviada por correo permitiría detectar el Alzheimer desde casa
Un avance científico sin precedentes promete revolucionar la forma en que entendemos y diagnosticamos el Alzheimer. Por primera vez, un estudio internacional demostró que es […]
Alerta sanitaria: la «súper gripe» H3N2 ya circula en Argentina y preocupa su avance en pleno verano
Mientras transcurren las primeras semanas de este 2026, las autoridades sanitarias han encendido las alarmas tras confirmarse la presencia de una nueva variante de influenza […]
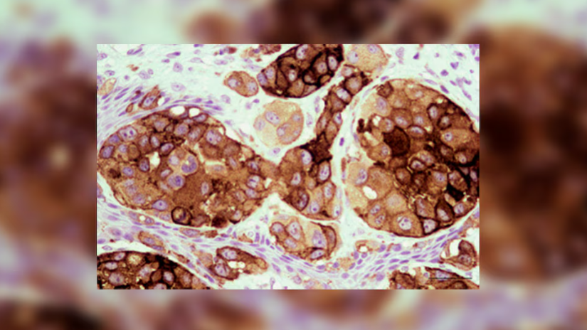
Ciencia y Esperanza: descubren cómo usar las mutaciones del cáncer para destruir a los tumores más resistentes
Uno de los mayores desafíos de la medicina moderna ocurre cuando un tratamiento contra el cáncer, que inicialmente era efectivo, deja de funcionar. Esto sucede […]
Innovación en Salud Mental: una aplicación digital promete aliviar la ansiedad, abriendo la puerta a tratamientos a distancia
En un mundo cada vez más digitalizado y con una creciente preocupación por la salud mental, una noticia proveniente de la ciencia trae esperanza. Un […]
Alerta por récord de sífilis: Escobar intensifica los testeos gratuitos y confidenciales en todo el distrito
Ante el aumento sostenido de casos de sífilis que hoy marca un récord histórico en Argentina, la Municipalidad de Escobar ha decidido profundizar su estrategia […]
Triple amenaza viral: sarampión, tos convulsa y la llegada de la «nueva gripe» ponen en alerta al sistema sanitario
Argentina enfrenta un escenario epidemiológico complejo que combina el regreso de viejos enemigos con nuevas amenazas. A la crisis por la reaparición de casos de […]
Alerta médica: confirman que la combinación de ansiedad y depresión dispara el riesgo de sufrir infartos
Un masivo estudio científico reveló que sufrir ambos trastornos a la vez genera una «tormenta perfecta» en el organismo: el estrés crónico inflama las arterias […]
Alerta sanitaria global: qué es la «Variante K» de la gripe que satura hospitales en Europa y pone en guardia a la Argentina
El Reino Unido y España reportan cifras récord de contagios y hospitalizaciones por una mutación del virus H3N2. Los expertos advierten sobre su alta contagiosidad […]
Justicia y Salud: Mendoza marca un precedente histórico y lleva a tribunales a los padres que no vacunan a sus hijos
En una decisión inédita para la Argentina, que podría marcar el rumbo de las políticas sanitarias a nivel nacional, el gobierno de Mendoza ha decidido […]
Vacuna argentina contra el melanoma: ya está disponible y abre una nueva etapa en terapias contra el cáncer de piel
Argentina sumó un avance histórico en la lucha contra el cáncer de piel más agresivo. Ya está disponible Vaccimel, la primera vacuna terapéutica desarrollada en […]
Detectan en España el primer caso autóctono del virus Usutu: qué se sabe sobre este nuevo agente infeccioso
El sistema sanitario europeo encendió las alertas tras confirmarse, por primera vez en España, un caso autóctono del virus Usutu, una infección transmitida por mosquitos […]
Nueva era en inmunoterapia: desarrollan moléculas que activan las defensas del cuerpo directamente dentro de los tumores
Un equipo de investigadores del prestigioso Instituto Weizmann de Ciencias, en Israel, presentó un avance prometedor en la lucha contra el cáncer: el desarrollo de […]
Récord histórico de casos de sífilis en Argentina: alertan por un aumento sostenido y piden reforzar la prevención
Argentina atraviesa el registro más alto de sífilis desde que existen datos oficiales. Según el último Boletín Epidemiológico Nacional, en 2024 se confirmaron 36.917 diagnósticos, […]
Orgullo argentino: una médica del Hospital Garrahan fue premiada en Alemania por su destacada labor en trasplantes pediátricos
La médica argentina María Julia Minetto, integrante del servicio de Trasplante Hepático del Hospital Garrahan, fue reconocida en Berlín (Alemania) por su sobresaliente desempeño y […]
La Casa de Ronald McDonald y el municipio, con programas de salud infantil
A través de la articulación entre la Municipalidad de Escobar y La Casa de Ronald McDonald, se profundizaron las acciones de promoción de la salud […]
Científicos revierten Alzheimer en ratones usando nanopartículas: qué logró el nuevo tratamiento experimental
Un estudio reciente ha presentado un avance prometedor en la investigación del Alzheimer: investigadores del Instituto de Bioingeniería de Cataluña (IBEC), junto a equipos del […]
Nueve cambios simples en la vida cotidiana que ayudan a reducir la presión arterial
La hipertensión arterial es una enfermedad silenciosa que afecta a tres de cada diez adultos en la Argentina, y que a nivel mundial alcanza a […]
Una enfermedad silenciosa que se transmite a través de los perros: cómo prevenir la hidatidosis
En la Argentina, una enfermedad poco visible pero persistente sigue afectando tanto a la salud humana como a la producción ganadera. Se trata de la […]
Ozempic: ¿medicamento milagroso o herramienta con límites?
En los últimos meses, nombres como Ozempic y Wegovy comenzaron a sonar con fuerza en todo el mundo. Se trata de fármacos a base de […]
Se abrió el registro para recibir la vacuna contra el Dengue en Escobar
Las personas de entre 15 y 59 años que residan en el partido de Escobar ya pueden registrarse para acceder a la vacuna contra el […]
Día del Hipertenso en la Argentina: siete claves del nuevo consenso médico para controlar la presión arterial
Cada 14 de septiembre se conmemora en la Argentina el Día del Hipertenso, una fecha impulsada por la Sociedad Argentina de Hipertensión Arterial (SAHA) para […]
Orgullo argentino: médicos premiados por una cirugía que reconstruyó un ojo y devolvió la visión
Un equipo de oftalmólogos argentinos recibió uno de los máximos reconocimientos internacionales en su especialidad tras realizar una cirugía inédita que permitió reconstruir el ojo […]
Helicobacter pylori: la bacteria “silenciosa” que preocupa en Argentina y puede derivar en cáncer gástrico
En Argentina, especialistas de distintas sociedades médicas lanzaron una campaña nacional para visibilizar la presencia del Helicobacter pylori, una bacteria conocida como “silenciosa” porque muchas […]
Hipertensión oculta: el método más usado para medir la presión puede fallar hasta en un 30%
Un estudio de la Universidad de Cambridge publicado en la revista científica PNAS Nexus reveló que el método más común para medir la presión arterial […]
Suplementación deportiva: primero la alimentación, después los suplementos
Por Lic. Gonzalo Ezequiel Agusti – M.N.: 13.253 En un mundo donde cada vez más personas buscan mejorar su rendimiento deportivo, la suplementación ha ganado […]
